X

米良美一が倒れた原因:くも膜下出血にまつわる高血圧と家族歴

今回は、米良美一さん。2014年12月にくも膜下出血で倒れられ、手術を受けてみごと社会復帰をされたと報道されてますね。テレビでその報道を偶然見たので頑張って書いてみます。

時々、芸能人の方も病気になられます。そしてテレビでその病気についての特集みたいにしてわりと詳しく説明していただけますね。これって、結構啓発になって良いことだと思います。まあ、過剰な表現とか、専門家として見ると、多少”おっと。。。??”みたいなところもありますが、そこは目をつむるとして少し私も考察してみたいと思います。

くも膜下出血は、脳神経外科では大変重要な疾患になります。それは、死亡率が大変高く、しかも働き盛りの人の命を奪うという理由からです。

くも膜下出血(SAH:Subarachnoid hemorrhage)

クモ膜下出血とは、特定の疾患名ではなく、くも膜下腔に出血した病態の総称です。以下のような原因がありますが、そのほとんどが破裂脳動脈瘤ですね。

  • 破裂脳動脈瘤        約70%
  • 脳動静脈奇形        約10%
  • 高血圧性、動脈硬化性    約10%
  • その他、原因不明      約10%

では、脳動脈瘤の原因はどうでしょうか。それは、以下のような原因に分類されます。そして、一般的にもっともよく見られるのが先天性(嚢状)嚢動脈瘤ということになります。ですから、普通に”脳動脈瘤”といえば、この先天性のものをさします。

  • 先天性:嚢状
  • 動脈硬化性:紡錘状
  • 解離性:紡錘状
  • 外傷性:偽性動脈瘤
  • 感染性:多発する嚢状
  • 腫瘍性:悪性絨毛上皮腫、癌の血管転移、粘液種(心臓の腫瘍)

疫学と特徴:先天性

発生頻度には、国別地域格差が存在します。

日本では人口10万対20人/年

日本では男女比1:2で女性に多く見られます。

血管障害全体に占めるクモ膜下出血の割合は年々増加している。男性では横ばい傾向なのに対し、ここ30年間で女性では倍増しているようです。理由は不明です。

  • 好初部位は、ウイリス動脈輪
  • 男より女に多い
  • 家族歴:遺伝傾向があり遺伝子の関与が考えられる(北欧での研究によると、一親等内にクモ膜下出血の家族歴がある人が脳動脈瘤を持っている確率は、そうでない人の4倍にも達する
  • 動脈瘤を合併しやすい疾患:「線維筋性異形成」(全身血管の病気)、「多発性嚢胞腎」
  • 多発する事が有る:約20%

ウイリス動脈輪

A:前交通動脈

B:内頚動脈

C:前大脳動脈

D:中大脳動脈

E:後交通動脈

F:後大脳動脈

G:上小脳動脈

H:脳底動脈

I:後下小脳動脈

J:椎骨動脈

K:前脊椎動脈

概説

現在の医療水準でもクモ膜下出血患者には、重度障害以上の予後不良例が40%存在していて、その発症予防ならびに治療は重要な問題です。クモ膜下出血の恐ろしいところはまだ働き盛りの人に発症し,しかもそのうち30%は初回クモ膜下出血で死亡するか、残りの30%は、種々の後遺症を残すことです。さらに,治療しなければ25~30%は再出血で死亡すると言われています。社会復帰できるのは、手術治療がうまくいっても、約30%。 クモ膜下出血全体での死亡率は約10~67%と報告されています。

従いまして、脳ドックなどで、特にリスクを持たれている方、すなわち特に家族歴のある方については、くも膜下出血を発症する前に発見して、治療(後述)することが何よりも大切になります。

米良美一さんについては、マスコミからの情報では、家族歴が濃厚にあったとのことですので、今回は幸い社会復帰ができてよかったのですが、脳ドックなどを受けられて未破裂脳動脈瘤のままで発見できていればもっと回復は早かったものと考えられます。

予後によく相関するのは発症時の意識障害の程度であり、これを正確に評価することも重要なのです。

発症後に予後を悪化させる因子としては、再出血(再破裂)遅発性脳血管攣縮が重要であり、特に再出血は高率に予後を悪化させます。

また、慢性期になると二次性正常圧水頭症を起こすことは有名な事象です。

初発症状

  • 脳動脈瘤は、特殊なもの以外、破裂するまで全くの無症状なのです。だから、恐ろしいのですね。
  • 典型的症状 :経験したことの無い「突然の激しい頭痛」が特徴です。意識障害や、項部硬直は発症初期にはみられないこともあり注意を要します。すなわち、外来に平気で歩いてこられるくも膜下出血もあるということです。
  • 警告症状 :重篤な出血を来す前に少量の出血による 頭痛をみることがあると言われますが、ほんとうにごく稀なことです。
  •  動脈瘤が直接動眼神経を圧迫して 動眼神経麻痺(眼瞼下垂)を来すことも あります。もしこの片側の瞼が垂れた状態(眼瞼下垂)をみたならば、眼科ではなく、できるだけ急いで脳神経外科を受信してください。間もなく脳動脈瘤が破裂するというサインであることがあるからです。もちろん、この眼瞼下垂が全て、脳動脈瘤によるものではありませんが、もっとも恐ろしいものを考えて行動したほうが命を守れるのです。

くも膜下出血の診断

<頭部CT >

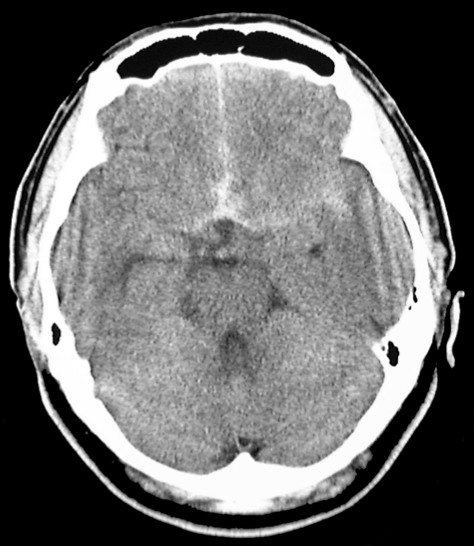
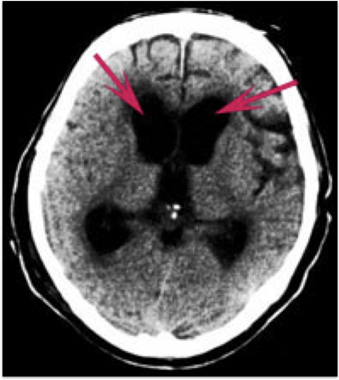
くも膜下出血の診断にはCTによるクモ膜下腔の高吸収の検出が適しており、発症24時間以内の診断率は92%で、以降時間の経過とともに低下します。すなわち、発症して救急車ですぐに病院に来られた場合には、診断率がよいということになりますが、2−3日経ってから(幸い再破裂などなく)、来院された場合には診断率が低下いたしますので、場合によってはCTのみでは診断ができない、誤診するということもありえるのです。

私の過去の経験でも、脳神経外科専門医ではない医師が救急当直に当たられていた時に、非常に軽症のくも膜下出血の患者さんが歩いて救急外来に来られて、頭部CTも取らずに返してしまったり、頭部CTは撮影したのに、非常にかるいくも膜下出血であったために、その画像でくも膜下出血を診断できず誤診したという苦いケースを見てきました。幸いこれらの症例も、私が発見して手術を行い無事、元気になられたのでことなきを得ましたが、場合によっては裁判沙汰になってもおかしくはないのですね。

<典型的なくも膜下出血のCT画像>

<くも膜下出血がわかりにくいCT画像>

<腰椎穿刺およびMRI>

CTでくも膜下出血が診断された場合は、腰椎穿刺は行いませんが、CT上出血を認めなくとも警告症状を有する例や発症後時間が経過している例で臨床上くも膜下出血が強く疑われる場合には腰椎穿刺を行うべきと言われていきました。しかしながら、現代においては、MRIが出現しましたので, MRIで FLAIRという撮影方法を用いますと、少量のくも膜下出血も診断できるようになりました。

破裂脳動脈瘤の治療

一昔前は、開頭(頭蓋骨を開ける方法)によって動脈瘤のネック(頸部)にクリップを挟むという外科的治療しかありませんでしたが、現在はこれに加えて、瘤内コイル塞栓術(血管内治療の一方法)があります。どちらの方法を選択するかは専門医の判断によります。一時、マスコミによって「どんな動脈瘤もコイル塞栓術で、切らずに治すことが可能になりました!」と大々的に発表したために、学会から大目玉を食らった歴史がありますね。

もちろん、患者さんからすれば頭を開けるなんてことは大変恐ろしいことと感じのはとても自然なことですし、うまくいけばコイル塞栓術のほうが大変侵襲も少ないため、体に優しい治療法といえるでしょう。ただし、上手くいけばという条件がつくのです。血管内治療は、ソケイ部からカテーテルという細い管を用いた治療であり、実際に術者が手を病変部に直接入れる治療ではありません。カテーテルやガイドワイヤーやコイルが動脈瘤を突き破ったりするトラブルも起こり得ます。この際には、開頭手術よりもはるかに重篤な合併症としての症状が後遺することになります。もちろん、開頭手術にしても合併症は起こり得ますが、血管内手術は、血管撮影室といういわば「検査室」という感じで捉えられらがちな場所で行われる「手術」です。ですから、血管内治療を行うときにはこれは、開頭手術と同等の手術であり死亡するリスクも十分に理解しておいていただかなければ訴訟になりえるわけですね。

開頭ネッククリッピング術

要するに、破裂した動脈瘤の先端から血液が漏れないようにするには、ネック(首)のところで締めるのが一番早いというコンセプトですね。以下が、シェーマになります。

実際のクリップは、以下の様になります。

<クリッピング前>矢印は動脈瘤

<クリッピンング後>矢印はクリップ

瘤内コイル塞栓術

一方、血管内治療では、動脈瘤の外から行っていた開頭術とは異なり、動脈瘤の内側から行う治療になります。従いまして、ソケイ部の動脈から1m以上離れた頭蓋内の動脈へとカテーテルを滑り込ませてしかも、さらに5-10mm前後の小さな動脈瘤の中にカテーテルを誘導していくという神業的な治療を行うのです。

以下にシェーマをお示しいたします。

<プラチナコイル>1本約15万円

<コイル塞栓中のマイクロカテーテルとコイル>

実際の塞栓術は以下の様になります。

<動脈瘤にカテーテル挿入中>

矢印は動脈瘤

<最後のコイル挿入終了>

<3DCTA:コイル塞栓前>

矢印は動脈瘤

<3DCTA:コイル塞栓後>

矢印は動脈瘤の消失を示す

再破裂

 再破裂は、24時間以内が多く、特に発症してすぐの病院搬送中の救急車の中などでも起こりえます。私が、まだぺーぺーのひよっこ医師だったころ、救急病院のバイトでくも膜下出血にあたり、患者さんを治療の目的で、早急に大学病院まで救急車で搬送している途中で、再破裂のために急に意識レベルが低下して、死亡あるいは手術適応を失った経験をたくさんいたしました。再破裂率は、2週間以内に30%、4週間以内に50%です。 破裂すると手術適応が無くなる程重症化することが多いのです。

遅発性脳血管攣縮(Vasospasm)

遅発性脳血管攣縮は、クモ膜下出血後、4~14病日に発生する脳主幹動脈の可逆的狭窄です。せっかく、破裂脳動脈瘤がきちんと治療できていたとしてもこの病態は起こるのです。

最初は、なんとなく意識レベルが低下したかなという程度で、運動麻痺も少し手足の動きが悪いのかなという程度で始まることが多い。攣縮が軽い場合は、症状を呈さないこともありますが、ひどい場合には、広範囲の脳梗塞を来します。

診断は、MRI、3DCT-angio、DSAあるいは、TCD(経頭蓋的ドップラー)などでおこないます。

治療は、以下のものがあります。

  • 術中のウロキナーゼ(血栓溶解剤)やペルジピン(カルシウム拮抗剤)による洗浄
  • 脳槽ドレナージの留置
  • トリプルH療法:Hypervolemia(循環血液量補充:アルブミン、輸血)+Hemodilution(血液希釈:低分子デキストラン)+Hypertension(高血圧)
  • 塩酸ファスジル(エリル)やオザグレルナトリウム(カタクロット)の全身投与
  • 血管内治療:塩酸パパベリンの選択的動注療法やPTA

特に即効性があるのはバルーンによる治療(PTA)です。以下に、私の経験した症例を提示いたします。

遅発性脳血管攣縮に対するPTA治療

<治療前>矢印の部分が狭窄部
 
<治療後>矢印の部分が治療後に拡張した部分

水頭症(二次生正常圧水頭症)

クモ膜下出血の慢性期に、交通性水頭症が発生することがある。これは、髄液の産生の亢進と吸収障害によると言われています。

治療法には、VPシャント術とLPシャント術の2つの方法があります。VP(Ventriculo-Peritoneal shunt)は、脳室と腹腔をチューブでつなぎます。LP(Lumbo-Peritoneal shunt)は、腰部のくも膜下腔の髄液を腹腔に流す様にチューブでつなぎます。

<治療前:脳室拡大>

矢印は拡大した脳室

<VPシャント術後:脳室拡大消失>

矢印は挿入した脳室チューブ

Dr HT:
Related Post