エピソード 高血圧と歯周病の関係:降圧剤の薬の副作用なの! 高血圧と歯周病の関係:特徴的なこと高血圧と歯周病って関係があるってあなたは知ってましたか。このことは、内科の医師でも意外と知らないかもしれません。高血圧の人には次のような特徴があります。 降圧剤の中でもほとんどのカルシウム拮抗薬(アダラート... 2015.12.11 エピソード症状
症状 高血圧の人が動悸という症状を呈した場合どうしますか? 高血圧があるからすぐに”動悸”という症状を皆が呈する訳ではありません。何度も繰り返し申し上げておりますが、高血圧そのものは無症状ですが、長年にわたって高血圧が続く状態が心臓を含む全身の動脈硬化を進行させてそれによる臓器障害をきたすことで症状... 2015.11.30 症状
症例 高血圧の人、こんな頭痛は非常に危険だ! 突然の片側の後頭部痛 突発性の頭痛は、だいたいが危険であることが多いのです。そして、もしこれが片側だけに起こった場合には、「解離性椎骨動脈瘤」という病気を考える必要があります。解離性椎骨動脈瘤さて、この病気はあまり聞きなれないと思いますので要点をまとめて見たいと... 2015.11.27 症例症状
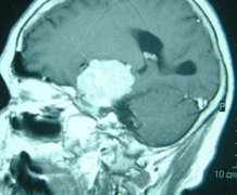
エピソード 朝起こる頭痛、吐き気、高血圧?これは危ない! ここで”朝起こる頭痛”となると、我々脳外科の世界では、その症状の組み合わせでもっとも危険な疾患は「脳腫瘍」です。このブログは、"高血圧”に特化しているサイトですが、高血圧以外の他の疾患のこともきちんと、お話ししておく必要があると思います。高... 2015.11.23 エピソード症状
症状 高血圧で頭痛の時、何科?行くところによっては死ぬ? 高血圧と頭痛の組み合わせですが、もし外来に患者さんが来られて頭痛があって血圧を測定すると高血圧、っていうか血圧が正常値よりも高かった場合。これを高血圧と呼んで良いのでしょうか? 極めて専門的な質問です。一般人は(血圧が高い)=(高血圧)って... 2015.11.22 症状
エピソード 高血圧の症状チェック ネットで高血圧 症状 チェックとかで、検索すると高血圧になりそうな人のセルフチェックみたいなのがたくさん出てきた。 私は、医師として思いました。こんなのチェックしても何にもならないなあ、と。そんなことする前に、血圧計買ってきて、自宅できちん... 2015.10.21 エピソード症状
症状 高血圧の症状:目の充血や目が痛い 何度も言いますが、高血圧には症状がありません。ですから、目の充血とか目が痛いという主訴で受診するとしたら眼科ということになります。目が赤い:結膜下出血目の充血という場合は、眼の白いところ(眼球結膜)に炎症があって(結膜炎)血管が怒張した状態... 2015.10.21 症状
エピソード めまいと吐き気で救急車呼んだら高血圧だった! エピソード:ある日の当直にてそれは、秋も深まり祭りが終わろうとしてるある日の当直のこと。その64歳の男性がやってきました。救急隊員は、「呂律難を訴える男性ですが、意識は清明で片麻痺もありません。受け入れお願いできますか?」またかいな。”呂律... 2015.10.19 エピソード症状
症状 高血圧の症状と看護 そもそも高血圧には症状というものがないことはなんども書いてきました。ところが、現実の世界では、患者さんも看護師さんも介護人も皆、「先生血圧が高いのですがどうしましょうか?」と尋ねられますし、「頭痛がしてめまいがして、血圧が200mmHgを超... 2015.10.18 症状
症状 高血圧と鼻血の関係:その鼻血やばくない? 高血圧の人がよく鼻血を出すのか?、鼻血が出たら高血圧を心配するのか?これって、どうなの?どちらもあまり正しくないのかもしれません。高血圧の人は確かに、動脈硬化が強くなっているため血管が脆いのは事実ですが、だから鼻血がよくでるわけではないで... 2015.10.13 症状