高血圧と頭痛の組み合わせですが、もし外来に患者さんが来られて頭痛があって血圧を測定すると高血圧、っていうか血圧が正常値よりも高かった場合。これを高血圧と呼んで良いのでしょうか? 極めて専門的な質問です。一般人は(血圧が高い)=(高血圧)って思ってますね。あなたもそうですか? これは、違います。私のブログの「高血圧の原因によってその対策(対処法)や治療は異なる」で、「血圧の測定方法」に書いてありますように、血圧は安静時に測るもので、なんらかの正常の体調ではない時すなわち、怪我をして痛かったり、めまいがしたり、頭痛がしたり、あるいは走ったりといった時に測るものではありません。そして、一定の期間継続して測定しても高い血圧が続いている場合に「高血圧」の診断名が下されます。従いまして、「高血圧で頭痛の時」という場合には、もともと高血圧の既往がある人が別の原因で頭痛が生じた場合であるのか、頭痛が先に起こった為にたまたま血圧が高くなっているだけなのかは、1回だけの血圧測定では困難です。ただし言えるのは、高血圧だけでは頭痛は決してしないということは大切です。何れにしても頭痛が起こっているのは事実ですので、高血圧以外に何かが起こっているんだということを覚えておいてください。
だからこそ、「行くところによっては死ぬ」と私が申し上げたのです。もう少し詳しくご説明いたしますね。
その為には、”頭痛”と言うものをよく知る必要がありますので、簡単に説明いたします。
頭痛の分類(一般の方向け)
- 機能的な頭痛
- 器質的な頭蓋内病変に伴う頭痛
- 目、鼻、耳、口腔に原因のある頭痛や顔面痛
A.は、アイスクリームなどの冷たいものを食べた時や飛行機に乗った時に起こる気圧の変化による頭痛など生理的に頭痛がおこってもおかしくない場合。病気ではあるが、機能的なものであり繰り返し起こっても命には関わらない頭痛があります。例えば、片頭痛、緊張型頭痛、群発頭痛などがあります。
B.が最も恐ろしい頭痛、すなわち死に至るかもしれない頭痛です。
C.は、例えば緑内障などの目の病気、副鼻腔炎(蓄膿)などの鼻の病気、中耳炎などの耳の病気、虫歯や歯槽膿漏などの口腔内の病気、あるいは三叉神経痛(一般の方はよく顔面神経痛などと言いますが、本来顔面神経は顔面の表情筋を動かす運動神経なので痛みを感じる神経ではありません)などによる頭痛とか顔面痛です。
では、B.の命に関わる頭痛にはどのようなものがあるのでしょうか。
以下の中でも、赤字のものは特に重要です。
結局、高血圧に気を取られて内科や循環器科、かかりつけ医などにかかってもその医師がこれらの恐ろしい頭痛のことを十分に認識していただけるならばどこの医師にかかってもOKです。しかし、世の中賢い医師ばかりではないですし、脳外科以外の医師にこの大変危険な頭痛を鑑別できるかというと、必ずしも可能ではないのです。
ですから、最もお勧めは、”脳神経外科”というのが正解です。症状が大事ということです。血圧が高いのは結果と思った方が安全です。特に、突然に起こった激しい頭痛は”死ぬかもしれない頭痛”だと思ってくださいね。
命に関わる頭痛
血管障害
虚血性疾患
- 脳梗塞:特に椎骨動脈解離
- もやもや病
出血性疾患
- クモ膜下出血:すでに別のページで記載してます。
- 脳内出血
- 脳室内出血
未破裂でも特に椎骨動脈解離
外傷性
急性硬膜下血腫
急性硬膜外血腫
慢性硬膜下血腫
水頭症
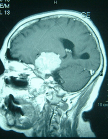
脳腫瘍
炎症性疾患
髄膜炎
脳膿瘍
硬膜下膿瘍


コメント